LOGIN
Video Poster Image
Star rating for the review from FOVU

Ebit30 Vet | Chison

Independent machine review


Dr Camilla Edwards reviews the Ebit30 Vet.

Read the full review, along with more about the expert behind this review below.

About Camilla...

The expert behind this independent review!

Dr Camilla Edwards, a peripatetic veterinary ultrasonographer in
Cambridge, founded FOVU First Opinion Veterinary Ultrasound in
2018 after earning her veterinary degree in 2006. Camilla's
veterinary ultrasound expertise is widely recognised through her
numerous lectures, ultrasound machine reviews, podcasts, online courses, and exclusive membership to help veterinary professionals master and confidently use ultrasound.

FOVU is a worldwide source of veterinary ultrasound expertise, with
a primary mission to educate, support, and empower veterinary
professionals in improving their ultrasound skills. FOVU’s goal is to
increase confidence in operating ultrasound machines and improve
scanning skills to diagnose patients effectively.

Dr Camilla Edwards, peripatetic veterinary ultrasonographer

Chison Ebit30 Vet Review

Ebit30 Vet machine review by FOVU

What the manufacturers say:

 

The EBit VET Series provide all the power you need for today's challenging clinical environment, yet remain portable and affordable. With its cutting-edge imaging technologies, intuitive workflow, ergonomic design, versatile transducers for all applications from top to toe, we firmly believe the it to be the very best portable ultrasound in its class today. 

PRICE: £5-10K

75%

Specifications

Standard Configurations

75%

15” LED monitor (0-30o) adapts to different viewing angles 

Built-in battery ≥ 2 hours 

30 degree rotatable LED screen 

Full-Screen Mode 

320 GB Hard disk 

Super Light – Just 7.5Kg 

Two probe connectors 

Multiple probes available (THI on all) 

4 USB ports 

Where to buy this machine:

 

 
Photon Surgical Systems

What do I think?

I had the pleasure of using the Ebit 30 Vet for a couple of weeks in my peripatetic practice. I would describe this as a good all-rounder. For a basic machine, it doesn’t excel at anything but it is very good at everything.


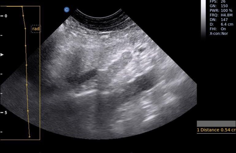
It’s not too heavy, not too expensive, decent range of probes to choose from and I found the image quality is good. I should just place a note on the image quality that the Chison imaging can be a bit marmite – you’ll either love it or hate it. The image always appears brighter in recordings than I remember it being at the time, but I’ve found this with other Chison machines too. Having said this, I was able to see all I needed to in the cases I saw during my time with this machine!

Summary

In summary, 

Pros: Able to have two probes plugged in at the same time, and good all rounder

Cons: Chison image quality - marmite!

Ebit30 Vet Overall Score

Star rating for maching review by FOVU
FOVU score rating for Veterinary ultrasound machine reviews

My scores

79%

Ease of settings ⭐⭐⭐⭐⭐

Image quality ⭐⭐⭐⭐⭐

Value for money ⭐⭐⭐⭐⭐

Robustness ⭐⭐⭐⭐⭐

Portability ⭐⭐⭐⭐⭐

Images from the Ebit30 Vet

Not sure what machine is right for you?

 

When people talk to me about ultrasound machines, they are often overwhelmed by the choice and unsure about what machine is best for their practice.

In my experience, the most important factor that everyone is looking for is the best image quality for their budget.

To ease the overwhelm, I've designed a quiz that explores your needs and budget. By answering key questions, you'll streamline your search and receive a tailored recommendation for the perfect machine that suits your practice.