LOGIN
Star rating for the review from FOVU

Q5 Vet Portable | Chison

Independent machine review


Dr Camilla Edwards reviews the Q5 Vet Portable.

Read the full review, along with more about the expert behind this review below.

About Camilla...

The expert behind this independent review!

Dr Camilla Edwards, a peripatetic veterinary ultrasonographer in
Cambridge, founded FOVU First Opinion Veterinary Ultrasound in
2018 after earning her veterinary degree in 2006. Camilla's
veterinary ultrasound expertise is widely recognised through her
numerous lectures, ultrasound machine reviews, podcasts, online courses, and exclusive membership to help veterinary professionals master and confidently use ultrasound.

FOVU is a worldwide source of veterinary ultrasound expertise, with
a primary mission to educate, support, and empower veterinary
professionals in improving their ultrasound skills. FOVU’s goal is to
increase confidence in operating ultrasound machines and improve
scanning skills to diagnose patients effectively.

Dr Camilla Edwards, peripatetic veterinary ultrasonographer

Chison Q5 Vet Portable Review

Q5 Vet Portable machine review by FOVU

What the manufacturers say:

The Chison Q5 Vet is a portable veterinary ultrasound machine with doppler and 15′′ LCD
screen with 2 probe connectors.

PRICE: <£10K

75%

Specifications

Standard Configurations

75%

15ʺ LCD screen with 2 probe connectors 

Scanning modes – B, Colour, PW, M mode  

Display modes – 2-D, M-Mode, PW/Color/Power/Directional Power Doppler 

Probes available – Convex, Linear, microconvex, endovaginal, phased array 

Includes Tissue Harmonics and speckle reduction imaging technology 

Where to buy this machine: 

 

 

 

What do I think?

I have used this scanner in more than 40 cases now, and generally find it a simple machine with a great image. Prices I have seen range from £6880.00 not including probes. This machine comes in a large suitcase on wheels which are needed as this is not a very portable portable ultrasound machine. It is heavy compared to the newer machines, but this is not a problem if it is mostly going to stand in one position in the practice and its weight makes it sturdy and I don’t worry about it falling or getting knocked over.

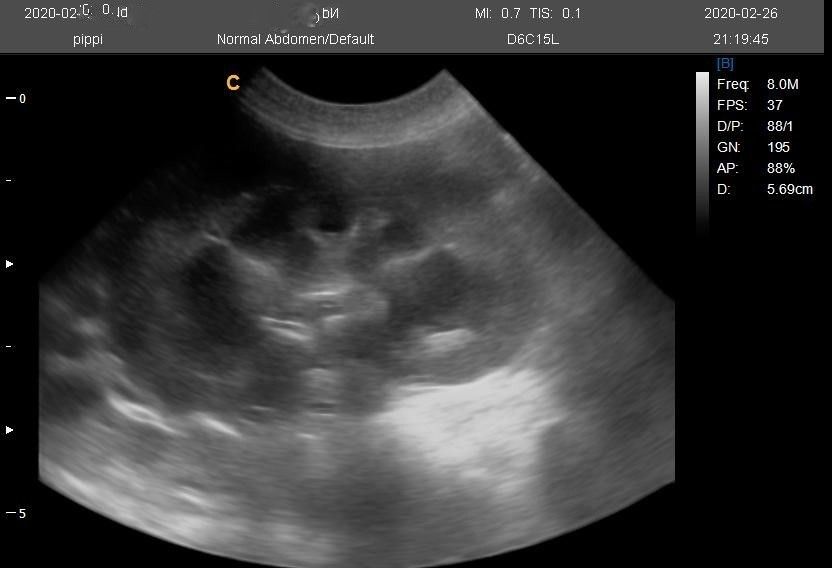
The patient button, probe settings, frequency, depth, focal zone, overall gain and TGC buttons are labelled well and are easily found, as are freeze and save. Images are easily transferred to USB, but one problem I have had with this machine is it doesn’t transfer cineloops. Another more minor bug bear with this machine has been when I annotate an image I have to press the first letter I’m writing twice, as the first time I press it starts to register that it is writing. This means I have labelled many images as “Ladder” instead of “Bladder”! I am happy with the image quality, although occasionally it can appear brighter than other ultrasound machines. I’ve used this machine with the linear probe D7L40L (4-13MHz) and the microconvex – D6CI5L A (4-12MHz) in cats and dogs for abdominal scans and basic echocardiography scans. It has coped with these challenges well. These frequency ranges are great for covering large and small dogs and cats.

Because I often use different machines it can take me a couple of minutes to remember the set up, and this is one I need to concentrate on for the first minute – most things are logical enough, and wouldn’t be a problem if this is the only machine you use all the time.

The time gain compensation is a series of sliders, the overall gain is adjusted with an knob which is also the button for B view. The focal point is changed using a flick-switch and is next to a similar button to adjust depth.

You can save a still image and using the rollerball go back in time to find the perfect image before the dog fidgeted/started panting(!) or a cineloop.

Transferring images to USB is easily done, but I have not figured out easily how to transfer a cineloop image to USB. It is not clear at informing you once the downloading has finished.

I’ve included an image I’ve taken on this machine – but to be fair it was on my bouncy 8 month old puppy who has just started in the ultrasound business.

Summary

Pros

  • Good image quality
  • Logical layout of controls

Cons

  • Heavy

Q5 Vet Portable Overall Score

Star rating for maching review by FOVU
FOVU score rating for Veterinary ultrasound machine reviews

My scores

66%

Ease of settings ⭐⭐⭐⭐⭐

Image quality ⭐⭐⭐⭐⭐

Value for money ⭐⭐⭐⭐⭐

Robustness ⭐⭐⭐⭐⭐

Portability ⭐⭐⭐⭐⭐

Images from the Q5 Vet Portable

Not sure what machine is right for you?

 

When people talk to me about ultrasound machines, they are often overwhelmed by the choice and unsure about what machine is best for their practice.

In my experience, the most important factor that everyone is looking for is the best image quality for their budget.

To ease the overwhelm, I've designed a quiz that explores your needs and budget. By answering key questions, you'll streamline your search and receive a tailored recommendation for the perfect machine that suits your practice.