LOGIN
Video Poster Image
Star rating for the review from FOVU

SonoBook 8 Vet | Chison

Independent machine review


Dr Camilla Edwards reviews the SonoBook 8 Vet.

Read the full review, along with more about the expert behind this review below.

About Camilla...

The expert behind this independent review!

Dr Camilla Edwards, a peripatetic veterinary ultrasonographer in
Cambridge, founded FOVU First Opinion Veterinary Ultrasound in
2018 after earning her veterinary degree in 2006. Camilla's
veterinary ultrasound expertise is widely recognised through her
numerous lectures, ultrasound machine reviews, podcasts, online courses, and exclusive membership to help veterinary professionals master and confidently use ultrasound.

FOVU is a worldwide source of veterinary ultrasound expertise, with
a primary mission to educate, support, and empower veterinary
professionals in improving their ultrasound skills. FOVU’s goal is to
increase confidence in operating ultrasound machines and improve
scanning skills to diagnose patients effectively.

Dr Camilla Edwards, peripatetic veterinary ultrasonographer

Chison SonoBook 8 Vet Review

SonoBook 8 Vet machine review by FOVU

What the manufacturers say:

At its release in 2017, the new laptop-style Chison SonoBook 8 became the most versatile and most affordable high-end portable ultrasound machine.

Its most notable qualities are image quality, speed, and price..  Its most notable breakthroughs are with advanced cardiac and vascular imaging.  However, the SonoBook 8 also operates as an excellent shared service portable ultrasound.

Image quality for cardiology ranks among the best portable ultrasounds out there, and it includes stress echo, IMT, structured reports, and among the highest frame rates seen on any portable cardiovascular ultrasound machine.
With an internal Solid State hard drive, the SonoBook 8 portable ultrasound machine is among the fastest machines we tested. Saving loops, changing modes, adjusting image quality, exporting, etc., are all nearly instantaneous, with almost no lag keeping long line clips (prospective and retrospective).

The SonoBook 8 has a durable build and includes many advanced imaging features including compound imaging, needle visualisation, stress echo, speckle reduction imaging, IMT, Tissue Doppler, and prospective/retrospective cine loop saving. 

PRICE: £10-15K

75%

Specifications

Standard Configurations

75%

15′′ high resolution LED monitor 

Lightweight chassis under 12lbs with battery 

Supports 27 ultrasound transducers 

Internal Solid State Hard Drive 

Prospective and Retrospective Saving 

High-End cardiovascular imaging 

3 built-in USB ports 

Auto Measurements 

Intelligent patient data management 

Custom calculations, settings, and presets 

Where to buy this machine: 

 

 

 

Photon Surgical Systems

What do I think?

With this machine, you get what you pay for, so even though it is more expensive, it has all of the features and does them well.

The keyboard layout and buttons are a pleasure to use. The fact that a trolley with three probe connectors is available makes it useful as a bridge between a cart-based/portable machine.

I struggled to find fault with this machine during my brief time with it – using it on Pippi and on my peripatetic travels.   

Perhaps the one drawback is that the recorded images and videos do not do the image quality justice.

Summary

In summary, I liked this machine so much that I'm thinking about leasing it! 

Pros: Brilliant all round machine - difficult to fault

Cons: Images don't capture the quality in the real time image

SonoBook 8 Vet Overall Score

Star rating for maching review by FOVU
FOVU score rating for Veterinary ultrasound machine reviews

My scores

81%

Ease of settings ⭐⭐⭐⭐⭐

Image quality ⭐⭐⭐⭐⭐

Value for money ⭐⭐⭐⭐⭐

Robustness ⭐⭐⭐⭐⭐

Portability ⭐⭐⭐⭐⭐

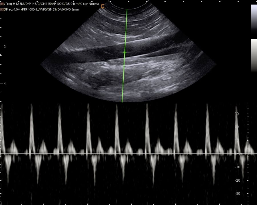
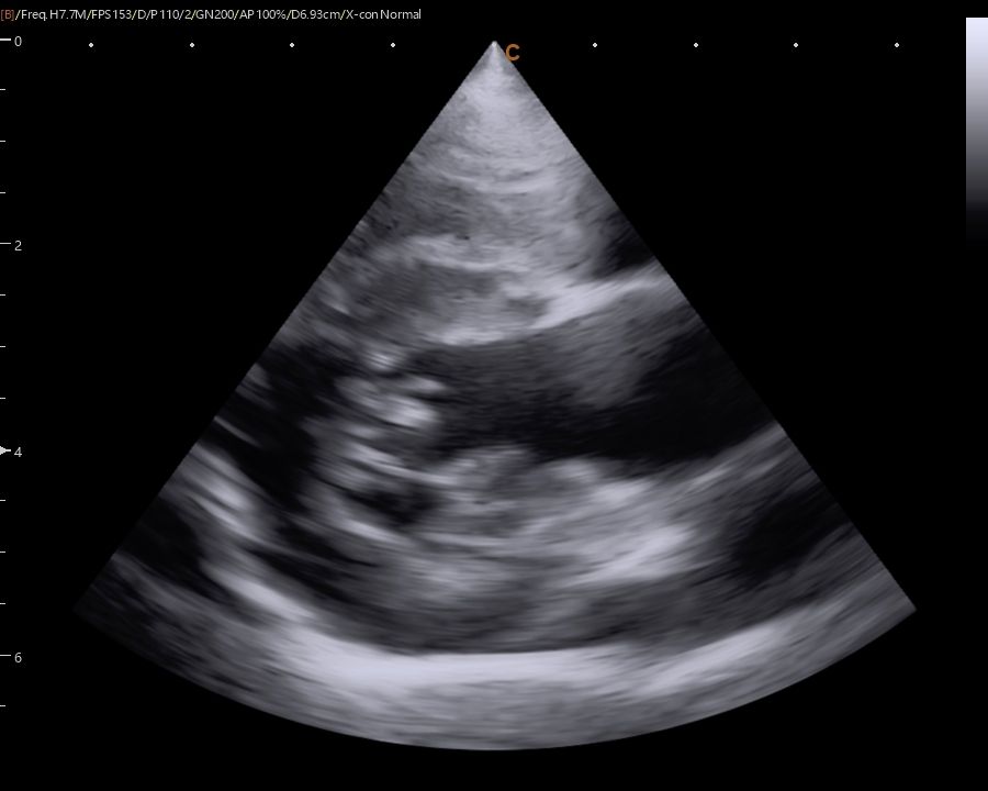
Images from the SonoBook 8 Vet

Not sure what machine is right for you?

 

When people talk to me about ultrasound machines, they are often overwhelmed by the choice and unsure about what machine is best for their practice.

In my experience, the most important factor that everyone is looking for is the best image quality for their budget.

To ease the overwhelm, I've designed a quiz that explores your needs and budget. By answering key questions, you'll streamline your search and receive a tailored recommendation for the perfect machine that suits your practice.