LOGIN
Video Poster Image
Star rating for the review from FOVU

Sonoeye P6 | Chison

Independent machine review


Dr Camilla Edwards reviews the Sonoeye P6.

Read the full review, along with more about the expert behind this review below.

About Camilla...

The expert behind this independent review!

Dr Camilla Edwards, a peripatetic veterinary ultrasonographer in
Cambridge, founded FOVU First Opinion Veterinary Ultrasound in
2018 after earning her veterinary degree in 2006. Camilla's
veterinary ultrasound expertise is widely recognised through her
numerous lectures, ultrasound machine reviews, podcasts, online courses, and exclusive membership to help veterinary professionals master and confidently use ultrasound.

FOVU is a worldwide source of veterinary ultrasound expertise, with
a primary mission to educate, support, and empower veterinary
professionals in improving their ultrasound skills. FOVU’s goal is to
increase confidence in operating ultrasound machines and improve
scanning skills to diagnose patients effectively.

Dr Camilla Edwards, peripatetic veterinary ultrasonographer

Chison Sonoeye P6 Review

Sonoeye P6 machine review by FOVU

What the manufacturers say:

CHISON SonoEye can help to provide high quality patient care in any location. Featuring an adaptable design that goes from pad to mobile phone, increasing the portability, and making it possible to work together with doctors from patient to patient all the time, initially in point of care applications and longer terms in primary care.

PRICE: <£10K

75%

Specifications

Standard Configurations

75%

Displaying Mode: Support B, C,PW, M,CPA, DPD, 2B Mode 

Waterproof StandardIP67(Supportimmersive disinfection) 

Support 7 languages 

Functions: SonoRemote, PW AutoTrace, QR scan, HIPPA, 

Transmission: Support DICOM & Network storage 

Where to buy this machine: 

 

 

 

Photon Surgical Systems

What do I think?

The Chison P6 has made its way into the market with a lot of promises, and while it does have some notable features, there are areas where it falls short.

One of the most immediately noticeable attributes of the P6 is its lightweight design. While this might be viewed as a benefit by some users who prioritize portability, the device feels a bit too light, bordering on flimsy. The build quality raises concerns about the longevity and durability of the unit, especially for professionals who might be using it frequently and in varied environments. Furthermore, during my time with the P6, I experienced inconsistent connections. The connectivity seemed glitchy, which is not something you want to deal with when relying on a device for clear, accurate readings.

This issue has the potential to compromise the user experience, and it's something that Chison should definitely look into. Overall, while the Chison P6 has its merits and its image quality is decent for comparable handheld machines, its lightweight construction and connection inconsistencies might make some potential buyers think twice.

Summary

In summary, if durability and stable connectivity are high on your list of requirements, it might be worth exploring other options in the market.

Sonoeye P6 Overall Score

Star rating for maching review by FOVU
FOVU score rating for Veterinary ultrasound machine reviews

My scores

56%

Ease of settings ⭐⭐⭐⭐⭐

Image quality ⭐⭐⭐⭐⭐

Value for money ⭐⭐⭐⭐⭐

Robustness ⭐⭐⭐⭐⭐

Portability ⭐⭐⭐⭐⭐

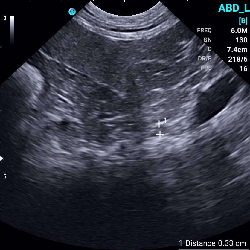
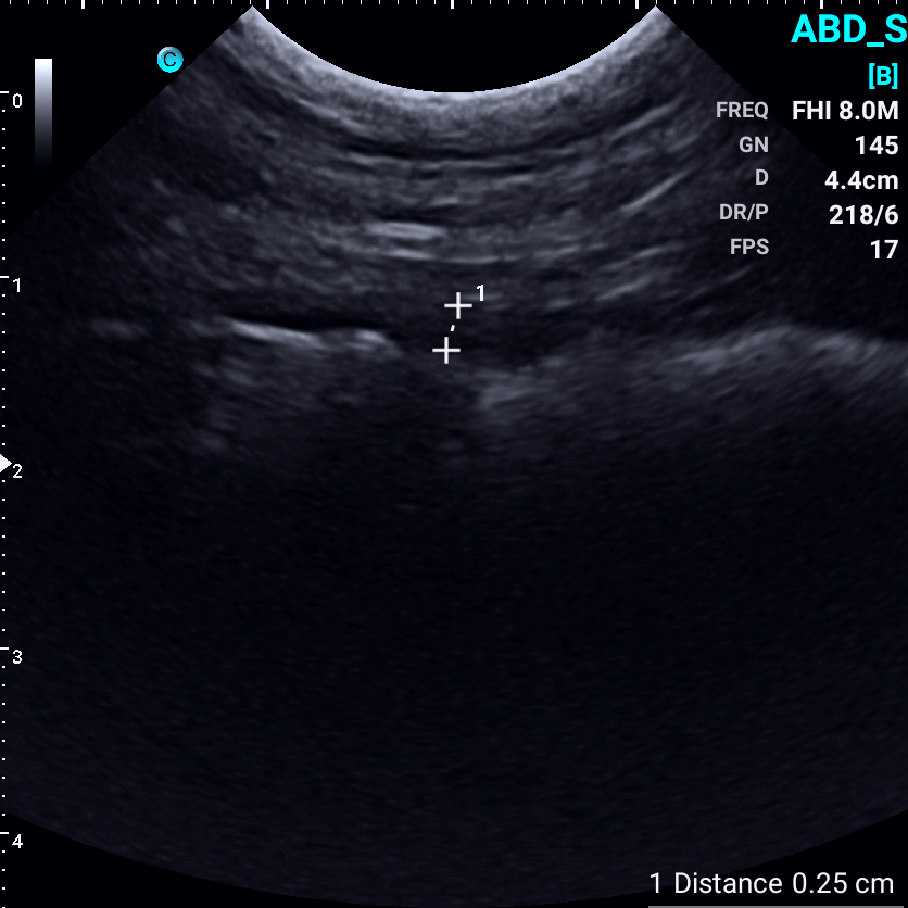
Images from the Sonoeye P6

Not sure what machine is right for you?

 

When people talk to me about ultrasound machines, they are often overwhelmed by the choice and unsure about what machine is best for their practice.

In my experience, the most important factor that everyone is looking for is the best image quality for their budget.

To ease the overwhelm, I've designed a quiz that explores your needs and budget. By answering key questions, you'll streamline your search and receive a tailored recommendation for the perfect machine that suits your practice.