LOGIN
Video Poster Image
Star rating for the review from FOVU

C7V HD3 | Clarius

Independent machine review


Dr Camilla Edwards reviews the C7V HD3.

Read the full review, along with more about the expert behind this review below.

About Camilla...

The expert behind this independent review!

Dr Camilla Edwards, a peripatetic veterinary ultrasonographer in
Cambridge, founded FOVU First Opinion Veterinary Ultrasound in
2018 after earning her veterinary degree in 2006. Camilla's
veterinary ultrasound expertise is widely recognised through her
numerous lectures, ultrasound machine reviews, podcasts, online courses, and exclusive membership to help veterinary professionals master and confidently use ultrasound.

FOVU is a worldwide source of veterinary ultrasound expertise, with
a primary mission to educate, support, and empower veterinary
professionals in improving their ultrasound skills. FOVU’s goal is to
increase confidence in operating ultrasound machines and improve
scanning skills to diagnose patients effectively.

Dr Camilla Edwards, peripatetic veterinary ultrasonographer

Clarius C7V HD3 Review

C7V HD3 machine review by FOVU

What the manufacturers say:

Meet the world’s only 3rd generation portable ultrasound. Clarius HD3 delivers best-in-class handheld ultrasound for your specialty, with an easy-to-use app powered by artificial intelligence and connection to the cloud.

The future of smart devices is portless. Clarius HD3 now features the latest antenna technology for the most reliable direct WIFI connection to your mobile iOS or Android devices – no ports, no cables. Untethered, you have absolute freedom to scan everywhere. 

PRICE: £5-10K

75%

Specifications

Standard Configurations

75%

112 degree field of view 

289g  

2 programmable buttons 

Temporary local storage 

Convenient cloud exam management 

Where to buy this machine:

 

 
Clarius

What do I think?

This machine is an upgrade from the previous Clarius C7V.  The modifications have significantly enhanced the machine, demonstrating that Clarius has paid attention to the issues that vets may have had with previous versions of the equipment and has made a significant difference with this latest model.


We now have a probe that is far smaller, lighter, and more balanced.  The probe's weight is evenly distributed, so it works with your wrist rather than against it. When you compare the old and new versions side by side, you can certainly feel the difference.
The other difference I've observed is that in previous versions, you had to have two batteries so that when one died, you could use the other whilst you charged the first.  Which took time to sort out.  Or if you just had one battery, you would simply have to wait for it to charge before using it again.

The new Clarius has the ability to be plugged in to charge while using the fan feature. As a result, you can not only keep the probe cold and prevent it from overheating, but you can also charge it at the same time.  No changes have been made to image quality but to be honest, that wasn't required because the image quality is so good.


If you're interested in getting an excellent point of care ultrasound machine I would definitely consider getting this new upgraded Clarius C7V HD3.

Summary

Pros:

  • Great image quality
  • Wireless - extremely portable.

Cons:

  • No continuous wave doppler so limited on cardiac scanning.
  • Battery life (mitigated a lot by the plug in functionality on this new version but this means you lose the wireless-ness when using it in this way).

C7V HD3 Overall Score

Star rating for maching review by FOVU
FOVU score rating for Veterinary ultrasound machine reviews

My scores

84%

Ease of settings ⭐⭐⭐⭐⭐

Image quality ⭐⭐⭐⭐⭐

Value for money ⭐⭐⭐⭐⭐

Robustness ⭐⭐⭐⭐⭐

Portability ⭐⭐⭐⭐⭐

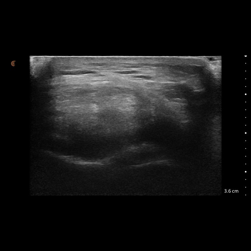
Images from the C7V HD3

Not sure what machine is right for you?

 

When people talk to me about ultrasound machines, they are often overwhelmed by the choice and unsure about what machine is best for their practice.

In my experience, the most important factor that everyone is looking for is the best image quality for their budget.

To ease the overwhelm, I've designed a quiz that explores your needs and budget. By answering key questions, you'll streamline your search and receive a tailored recommendation for the perfect machine that suits your practice.