LOGIN
Video Poster Image
Star rating for the review from FOVU

Blue | Draminski

Independent machine review


Dr Camilla Edwards reviews the Blue.

Read the full review, along with more about the expert behind this review below.

About Camilla...

The expert behind this independent review!

Dr Camilla Edwards, a peripatetic veterinary ultrasonographer in
Cambridge, founded FOVU First Opinion Veterinary Ultrasound in
2018 after earning her veterinary degree in 2006. Camilla's
veterinary ultrasound expertise is widely recognised through her
numerous lectures, ultrasound machine reviews, podcasts, online courses, and exclusive membership to help veterinary professionals master and confidently use ultrasound.

FOVU is a worldwide source of veterinary ultrasound expertise, with
a primary mission to educate, support, and empower veterinary
professionals in improving their ultrasound skills. FOVU’s goal is to
increase confidence in operating ultrasound machines and improve
scanning skills to diagnose patients effectively.

Dr Camilla Edwards, peripatetic veterinary ultrasonographer

Draminski Blue Review

Blue machine review by FOVU

What the manufacturers say:

A premium class mobile ultrasound machine designed for quick, precise and comprehensive health diagnosis in horses and small animals, with excellent Doppler ultrasonography and high quality imaging.  Intuitive menu, crystal clear touch screen and user friendly interface create a great tool for high quality imaging both in clinic and field environment.

DRAMIŃSKI BLUE is a veterinary diagnostic ultrasound scanner that provides surprisingly detailed images. Enjoy the sensitive touch screen. The scanner is second to none after the first examination.  

PRICE: £10-15K

75%

Specifications

Standard Configurations

75%

12′′ LED LCD display 

2 x USB, 2 x LAN, 1 x HDMI External ports 

60GB Frame memory and cine loop viewing 

Exported file format PNG for images, AVI, MP4, MOV for cine loop viewing 

Capacitive touch panel 

LuciD Image analysis and processing 

Vi-ProbeTM 

D-CurveTM 

3 Doppler Imaging modes 

Weighs only 4 kg 

Where to buy this machine:

 

 
Photon Surgical Systems

What do I think?

I had access to the Draminski Blue for just over a week, and as well as using it with my dog Pippi. I also used it in a few cases where I was able to find some enlarged adrenal glands, hyperechoic liver and sludge in a couple of gallbladders.


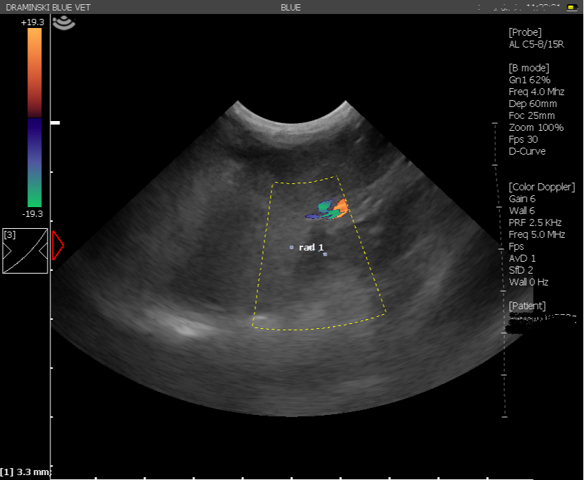
The image quality was good, and I was really impressed that power Doppler was available on a machine at this price. I found navigating the machine really easy – everything is so well labelled – it’s hard to go wrong! The machine is very easy to move around with it’s inbuilt handle and sets up very quickly – it really maximises space versus screen size well.


The only thing I did struggle slightly with was taking accurate measurements – touch screen is harder to be precise than a mouse or trackball. Draminiski have thought of this as when you are taking measurements you can hold your finger on the screen and this zooms in on a circle – allowing you to place the marker more accurately. I think with a bit of practice I would easily get used to this function.

Summary

In summary, This is a reasonable value machine especially if Doppler is what takes your interest – I’m not sure I’ve seen a better value machine with power Doppler. It’s layout is very logical and buttons
are clearly marked, it is robust and extremely portable. My only bug bear is taking measurements on touchscreens – but they have made this as good as it can possibly be. All in all, I think this is a really good buy!

Pros:

  • Well labelled - really easy to navigate.
  • Image quality is good.
  • Really small and portable while maximising screen size.
  • Great Doppler options. 

Cons:

  • Touch screen makes taking precise measurements slightly harder. 

Blue Overall Score

Star rating for maching review by FOVU
FOVU score rating for Veterinary ultrasound machine reviews

My scores

80%

Ease of settings ⭐⭐⭐⭐⭐

Image quality ⭐⭐⭐⭐⭐

Value for money ⭐⭐⭐⭐⭐

Robustness ⭐⭐⭐⭐⭐

Portability ⭐⭐⭐⭐⭐

Images from the Blue

Not sure what machine is right for you?

 

When people talk to me about ultrasound machines, they are often overwhelmed by the choice and unsure about what machine is best for their practice.

In my experience, the most important factor that everyone is looking for is the best image quality for their budget.

To ease the overwhelm, I've designed a quiz that explores your needs and budget. By answering key questions, you'll streamline your search and receive a tailored recommendation for the perfect machine that suits your practice.