
Acclarix AX3 Vet | EDAN
Independent machine review
Dr Camilla Edwards reviews the Acclarix AX3 Vet.
Read the full review, along with more about the expert behind this review below.
About Camilla...
The expert behind this independent review!
Dr Camilla Edwards, a peripatetic veterinary ultrasonographer in
Cambridge, founded FOVU First Opinion Veterinary Ultrasound in
2018 after earning her veterinary degree in 2006. Camilla's
veterinary ultrasound expertise is widely recognised through her
numerous lectures, ultrasound machine reviews, podcasts, online courses, and exclusive membership to help veterinary professionals master and confidently use ultrasound.
FOVU is a worldwide source of veterinary ultrasound expertise, with
a primary mission to educate, support, and empower veterinary
professionals in improving their ultrasound skills. FOVU’s goal is to
increase confidence in operating ultrasound machines and improve
scanning skills to diagnose patients effectively.

EDAN Acclarix AX3 Vet Review

What the manufacturers say:
The Acclarix AX3 VET has been designed from the relentless focus on delivering uncompromising performance at a cost-effective price. Alone with the unique dual-sockets and
dual-batteries inspiration in a 4.5kg lightweight magnesium alloy body, the remarkable Acclarix AX3 VET delivers a surprising value to meet all the demands for animals.
Definitive Image Quality
Revolutionary platform results in superb detail resolution, particularly at depth. Tissue Adaptive
Imaging (TAI) continuously and automatically optimizes imaging allowing more focus on different
kinds of animals.
PRICE: £10-15K
Specifications
Standard Configurations
Dedicated presets and measurement packages for veterinary applications
Customizable user interface for personalized design
Multiple data management methods: DICOM, network, PDF, AVI and BMP file export
High sensitive touch screen for daily operation
Dual transducers design can simplifyworkflow and improve the diagnostic efficiency
Ergonomic control panel with high sensitive touch screen ensures everything at fingertips
Ultra-light and ultra-compact design facilitates maneuverability and portability
What do I think?
Overall
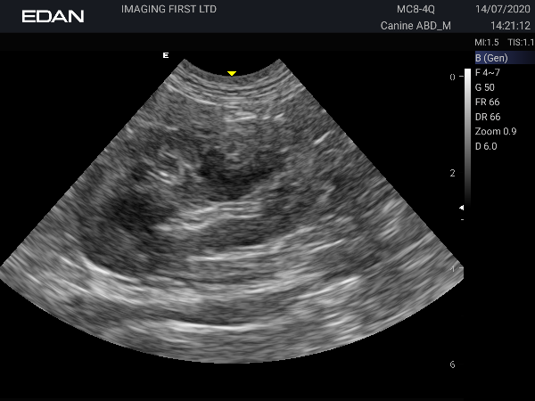
This machine produces beautiful images. The Edan Acclarix AX3 travelled with me on a couple of visits to practices. I used the linear probe on cat abdomen and the microconvex on a Bernese Mountain Dog and was able to see the duodenal papilla in both. As well as scanning my own dog Pippi, I scanned a cat and dog heart – it generally performed well and the linear phased probe gave superb images for the price.
The machine is the size of a large laptop, so very portable and comes in a suitcase with wheels and weighing only 4.5kg it was very portable. Dual batteries are handy for keeping mobile and lasted about 3 hours. The brilliant image quality does come at a cost in frame rate, which produces a slight delay. I think over time you would adapt and get used to it, but it was a little frustrating when making fine movements with the probe not corresponding directly with the
image on screen. The image quality is well worth this though.
Touchscreen
A few niggles I had with the machine were that the time gain compensation on the touch screen means it is tricky to get “perfect” without that manual feel of a slider. The touchscreen lies horizontally – this is lovely to work with and mostly intuitive. However, I would be worried if I was in a larger practice with lots of people using it that things may get spilled/sprayed/shot
across this part of the machine and that it might require cleaning in the middle of an exam before carrying on. The rest of the horizontal part of the machine has a cover to protect and for easy cleaning. A stand to increase the height at the back of the machine is lacking. Honestly I’m nit-picking – this is a good buy for first opinion practice.
Summary
In summary this machine has been a lot of fun to review. The image quality particularly on the linear probe in cats is superb, and I’ve enjoyed seeing details on an abdominal scan I wouldn’t normally get to see. The niggles I’ve named are nit-picking – if these are not a big deal to you do not let them put you off this great little machine.
Pros:
- Lovely images
- Light weight and small
Cons:
- Slight delay in image
- Horizontal flat screen likely to get dirty in big practice
Acclarix AX3 Vet Overall Score


My scores
Ease of settings ⭐⭐⭐⭐⭐
Image quality ⭐⭐⭐⭐⭐
Value for money ⭐⭐⭐⭐⭐
Robustness ⭐⭐⭐⭐⭐
Portability ⭐⭐⭐⭐⭐
Images from the Acclarix AX3 Vet



Not sure what machine is right for you?
When people talk to me about ultrasound machines, they are often overwhelmed by the choice and unsure about what machine is best for their practice.
In my experience, the most important factor that everyone is looking for is the best image quality for their budget.
To ease the overwhelm, I've designed a quiz that explores your needs and budget. By answering key questions, you'll streamline your search and receive a tailored recommendation for the perfect machine that suits your practice.