LOGIN
Video Poster Image
Star rating for the review from FOVU

Magic P1 | Eickemeyer

Independent machine review


Dr Camilla Edwards reviews the Magic P1.

Read the full review, along with more about the expert behind this review below.

About Camilla...

The expert behind this independent review!

Dr Camilla Edwards, a peripatetic veterinary ultrasonographer in
Cambridge, founded FOVU First Opinion Veterinary Ultrasound in
2018 after earning her veterinary degree in 2006. Camilla's
veterinary ultrasound expertise is widely recognised through her
numerous lectures, ultrasound machine reviews, podcasts, online courses, and exclusive membership to help veterinary professionals master and confidently use ultrasound.

FOVU is a worldwide source of veterinary ultrasound expertise, with
a primary mission to educate, support, and empower veterinary
professionals in improving their ultrasound skills. FOVU’s goal is to
increase confidence in operating ultrasound machines and improve
scanning skills to diagnose patients effectively.

Dr Camilla Edwards, peripatetic veterinary ultrasonographer

Eickemeyer Magic P1 Review

Magic P1 machine review by FOVU

What the manufacturers say:

 

Highest mobility meets highest performance.  The MAGIC P1, with its advanced features, is one of the most highly developed Premium Colour Doppler systems in laptop format. The exceptionally high technical equipment guarantees excellent picture quality in all applications.

Features excellent image quality through the use of state-of-the-art image enhancement tools
(64-beam processing with processing up to 5,000 frames per second)

 

PRICE: £15-20K

75%

Specifications

Standard Configurations

75%

Tiltable 15' LED HD monitor 

5 kg 

Special Vet Software (body marks, pregnancy examination) 

Long battery life of up to 90 minutes 

Simple report function 

Single crystal technology for brilliant cardio images 

Where to buy this machine:

 

 
Eickemeyer

What do I think?

There are some really nice things about this machine. 

The fact that when you plug in the probes the charger it clicks into place and feels very sturdy. 

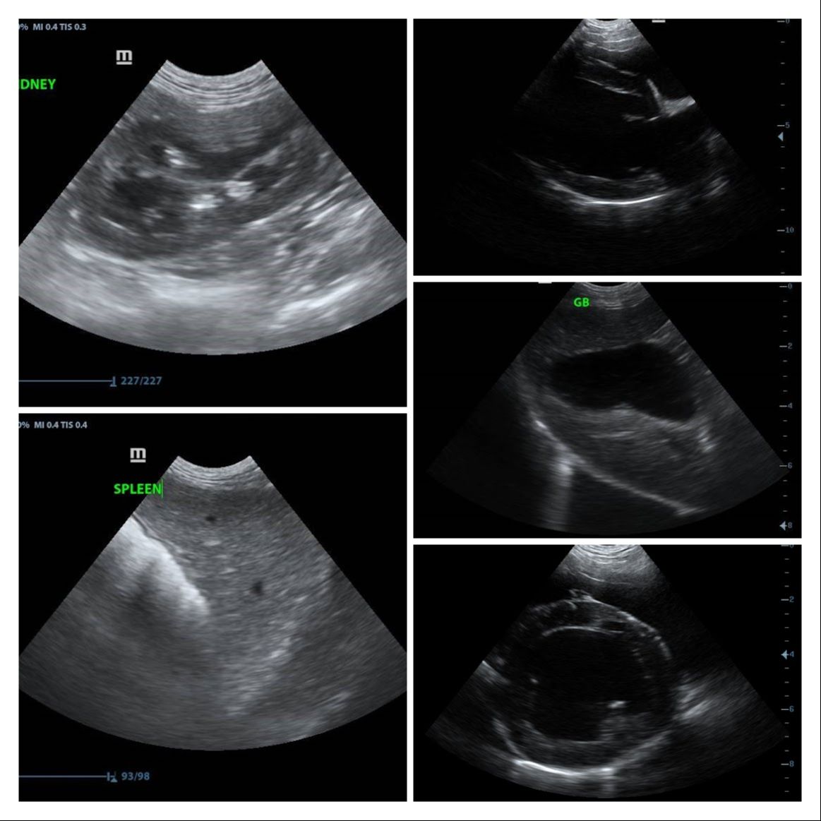
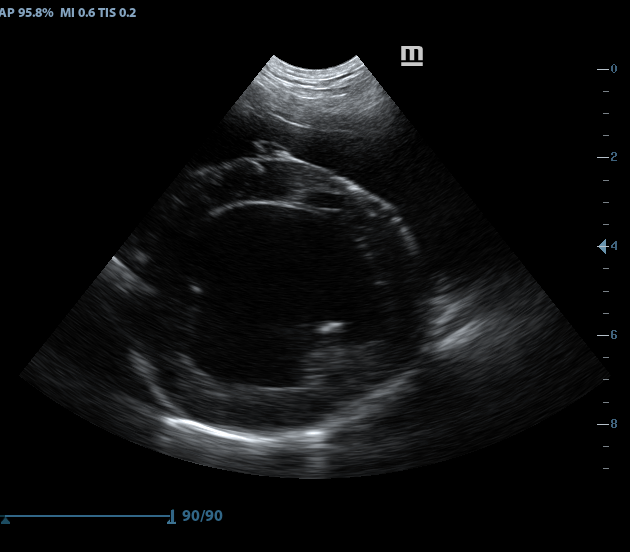
The machine is also fast to boot up and logical to find your way around. However, the image
quality was a little disappointing for this price range. 

Summary

In summary, 

Pros: Logical layout and fast start-up.

Cons: Image quality.

Magic P1 Overall Score

Star rating for maching review by FOVU
FOVU score rating for Veterinary ultrasound machine reviews

My scores

66%

Ease of settings ⭐⭐⭐⭐⭐

Image quality ⭐⭐⭐⭐⭐

Value for money ⭐⭐⭐⭐⭐

Robustness ⭐⭐⭐⭐⭐

Portability ⭐⭐⭐⭐⭐

Images from the Magic P1

Not sure what machine is right for you?

 

When people talk to me about ultrasound machines, they are often overwhelmed by the choice and unsure about what machine is best for their practice.

In my experience, the most important factor that everyone is looking for is the best image quality for their budget.

To ease the overwhelm, I've designed a quiz that explores your needs and budget. By answering key questions, you'll streamline your search and receive a tailored recommendation for the perfect machine that suits your practice.