LOGIN
Video Poster Image
Star rating for the review from FOVU

MyLab Sigma | Esaote

Independent machine review


Dr Camilla Edwards reviews the MyLab Sigma.

Read the full review, along with more about the expert behind this review below.

About Camilla...

The expert behind this independent review!

Dr Camilla Edwards, a peripatetic veterinary ultrasonographer in
Cambridge, founded FOVU First Opinion Veterinary Ultrasound in
2018 after earning her veterinary degree in 2006. Camilla's
veterinary ultrasound expertise is widely recognised through her
numerous lectures, ultrasound machine reviews, podcasts, online courses, and exclusive membership to help veterinary professionals master and confidently use ultrasound.

FOVU is a worldwide source of veterinary ultrasound expertise, with
a primary mission to educate, support, and empower veterinary
professionals in improving their ultrasound skills. FOVU’s goal is to
increase confidence in operating ultrasound machines and improve
scanning skills to diagnose patients effectively.

Dr Camilla Edwards, peripatetic veterinary ultrasonographer

Esaote MyLab Sigma Review

MyLab Sigma machine review by FOVU

What the manufacturers say:

 

Smart, portable, multidisciplinary ultrasound.

MyLabSigmaVET includes a large built-in touchscreen in addition to its rotating and tilting monitor. Its ergonomic and innovative design along with its great transportability further increase daily productivity and diagnostic efficiency.

It offers a large variety of mobile confi gurations to meet any possible need, application, and location.

Offering some of the best image quality in its class, the MyLabSigma VET would make an ideal partner for every day scanning.

Recommended for 1st opinion practices & hospitals.

 

PRICE: £10-15K

75%

Specifications

Standard Configurations

75%

Large 15.4” Monitor 180° rotation & full- screen visualisation option 

2 Probe Connectors 

Extensive Connectivity USB, LAN, Wi-Fi* 

Large Internal Hard Disk 

New PC with GPU technology for faster processing speeds 

Easy cleanability 

New capacitive touch screen for improved response 

Simplified User Interface Improving workflow & efficiency 

One-Click Automation 

Multi-Modality Archive Multimedia, native, DICOM* 

 Where to buy this machine:

 

 
Imotek

What do I think?

The Esaote MyLab Sigma is a portable machine. Its equivalent in the cart based world is the X5.
I have tried both the X5 and the sigma machines, and they are very, very good machines.  These are the lower end (price-wise) of the Esaote machines, but that doesn't mean that they're low end at all.
Not only do they create super quality images, but they are really nice machines that offer brilliant quality.

If you can push your budget to this machine, I would definitely get it; if you can go even further, get the Omega/X7!

Summary

In summary, 

Pros: Image quality

Cons: Not fully protected when closed

Sigma Overall Score

Star rating for maching review by FOVU
FOVU score rating for Veterinary ultrasound machine reviews

My scores

78%

Ease of settings ⭐⭐⭐⭐⭐

Image quality ⭐⭐⭐⭐⭐

Value for money ⭐⭐⭐⭐⭐

Robustness ⭐⭐⭐⭐⭐

Portability ⭐⭐⭐⭐⭐

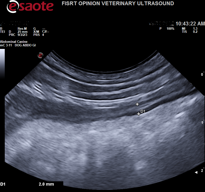
Images from the Sigma

Not sure what machine is right for you?

 

When people talk to me about ultrasound machines, they are often overwhelmed by the choice and unsure about what machine is best for their practice.

In my experience, the most important factor that everyone is looking for is the best image quality for their budget.

To ease the overwhelm, I've designed a quiz that explores your needs and budget. By answering key questions, you'll streamline your search and receive a tailored recommendation for the perfect machine that suits your practice.