
Apogee 2300V | SIUI
Independent machine review
Dr Camilla Edwards reviews the Apogee 2300V.
Read the full review, along with more about the expert behind this review below.
About Camilla...
The expert behind this independent review!
Dr Camilla Edwards, a peripatetic veterinary ultrasonographer in
Cambridge, founded FOVU First Opinion Veterinary Ultrasound in
2018 after earning her veterinary degree in 2006. Camilla's
veterinary ultrasound expertise is widely recognised through her
numerous lectures, ultrasound machine reviews, podcasts, online courses, and exclusive membership to help veterinary professionals master and confidently use ultrasound.
FOVU is a worldwide source of veterinary ultrasound expertise, with
a primary mission to educate, support, and empower veterinary
professionals in improving their ultrasound skills. FOVU’s goal is to
increase confidence in operating ultrasound machines and improve
scanning skills to diagnose patients effectively.

SIUI Apogee 2300V Review

What the manufacturers say:
Apogee 2300 is endowed with SIUI’s core technology to conduct excellent image performance with surprising processing speed.
Equipped with comprehensive application solutions, it proves its clinical talent in various types of applications, including but not limited to traditional ultrasonic diagnosis, OP, anesthesiology, MSK and neonatology.
Ergonomic compact design not only employs simple and convenient operation workflow but also boasts high extensibility.
PRICE: £20-25K
Specifications
Standard Configurations
MFI: By reducing signal distortion and eliminating unwanted noises, MFI renders premium images with outstanding resolution high contrast and enhanced penetration.
XBeam: The technology helps to ease echo artifacts and improve spatial resolution.
Nanoview: By reducing noises and artifacts, Nanoview is able to present tiny lesions in softened images with distinct tissues and enhanced edge helping to offer reliable diagnostic results.
Fusion THI: Real-time fusing the information from different frequency bands, Fusion THI implements the broadband transmission and reception of harmonic waves.
Compact and flexibility: 15-inch LCD monitor with tilting angle, user-orientated control panel, dual probe connectors, replaceable Li-ion Batteries.
What do I think?
I am now the proud owner of this machine - that’s how much I liked it!
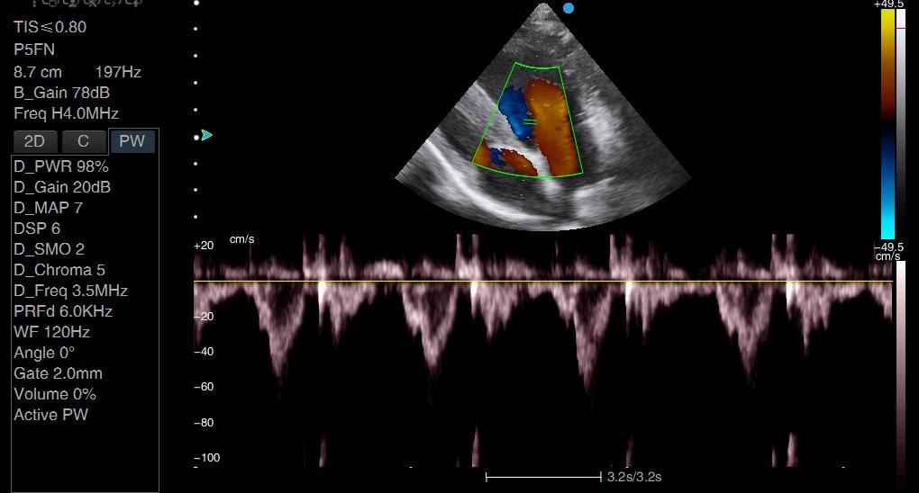
I think the image quality is great and what this machine really excels at is colour, Doppler.
Many machines I've tried the cardiac Doppler functions are just not up to scratch - it is really difficult to assess for turbulence, for example around mitral valves, but also in the abdomen because some machines just slow the frame rate so much that it's impossible to use colour Doppler effectively.
The Apogee 2300V absolutely excels and has really great resolution on its colour Doppler. So if you're interested in cardiac scanning, this is a really good machine to go for.
The abdominal scanning is not bad either, with great image quality and I particularly like the linear probe with a not too big footprint.
Where it falls down is its bulkiness. It is quite a bulky and not light machine!
Summary
In summary, this is a great machine for its price, but a bit bulky.
Pros: Great image quality and the best colour Doppler functionality
Cons: Bulky and heavy
Apogee 2300V Overall Score


My scores
Ease of settings ⭐⭐⭐⭐⭐
Image quality ⭐⭐⭐⭐⭐
Value for money ⭐⭐⭐⭐⭐
Robustness ⭐⭐⭐⭐⭐
Portability ⭐⭐⭐⭐⭐
Images from the Apogee 2300V



Not sure what machine is right for you?
When people talk to me about ultrasound machines, they are often overwhelmed by the choice and unsure about what machine is best for their practice.
In my experience, the most important factor that everyone is looking for is the best image quality for their budget.
To ease the overwhelm, I've designed a quiz that explores your needs and budget. By answering key questions, you'll streamline your search and receive a tailored recommendation for the perfect machine that suits your practice.