About Camilla...
The expert behind this independent review!
Dr Camilla Edwards, a peripatetic veterinary ultrasonographer in
Cambridge, founded FOVU First Opinion Veterinary Ultrasound in
2018 after earning her veterinary degree in 2006. Camilla's
veterinary ultrasound expertise is widely recognised through her
numerous lectures, ultrasound machine reviews, podcasts, online courses, and exclusive membership to help veterinary professionals master and confidently use ultrasound.
FOVU is a worldwide source of veterinary ultrasound expertise, with
a primary mission to educate, support, and empower veterinary
professionals in improving their ultrasound skills. FOVU’s goal is to
increase confidence in operating ultrasound machines and improve
scanning skills to diagnose patients effectively.

SonoScape E1V
Celtic SMR

What the manufacturers say:
E1, as a new hand-carried BW ultrasound model, is equipped with complete functions which enhance its competitiveness among entry-level ultrasound models. It not only provides satisfying image quality but also brings users a smooth workflow experience.
PRICE: <£6,000
More about the manufacturer:
Celtic SMR has been supplying the veterinary profession with imaging equipment for over 30 years. A small and friendly team dedicated to helping vets select the perfect products for their practice, from first opinion to referral.
Specifications
Efficient Diagnosis
μ-Scan, Speckle Reduction & Edge Enhancement
Spatial Compound Imaging
PIH – Pulse Inversion Harmonic
Wide Scan – Enlarge Image Area
PW Doppler
Chroma – Highlight Image Details
B Steer for Linear Probe
Specifications
Ergonomics Designs
2 Transducer Ports
Light Weight and Compact
15.6 inch Anti-flickering HD LED Screen
Tilting Monitor Angle Adjustment
Backlit Keyboard and Intelligent Panel
Long-lasting Battery for 90mins
Specifications
Ease of Use
Quick Boot Up
Auto Brightness Adjustment
Auto Image Optimized
Auto IMT
Auto Trace
Specifications
Equipped Accessories
Wi-Fi and Bluetooth Available
DICOM
500GB Hard Disk
Height Adjustable Trolley
Durable, Carry-on Site Suitcase
What do I think?
I have used this scanner in a few cases now as well as on Pippi and overall I am impressed by the image you get for such a low cost machine. The downsides are that it cannot be upgraded to include Doppler and is only compatible with microconvex and linear probes, not phased array. Therefore this is ideal for the first opinion small animal practice who need a low cost ultrasound machine for basic scanning and are not planning to develop
their skills further than that in the machine’s lifetime.
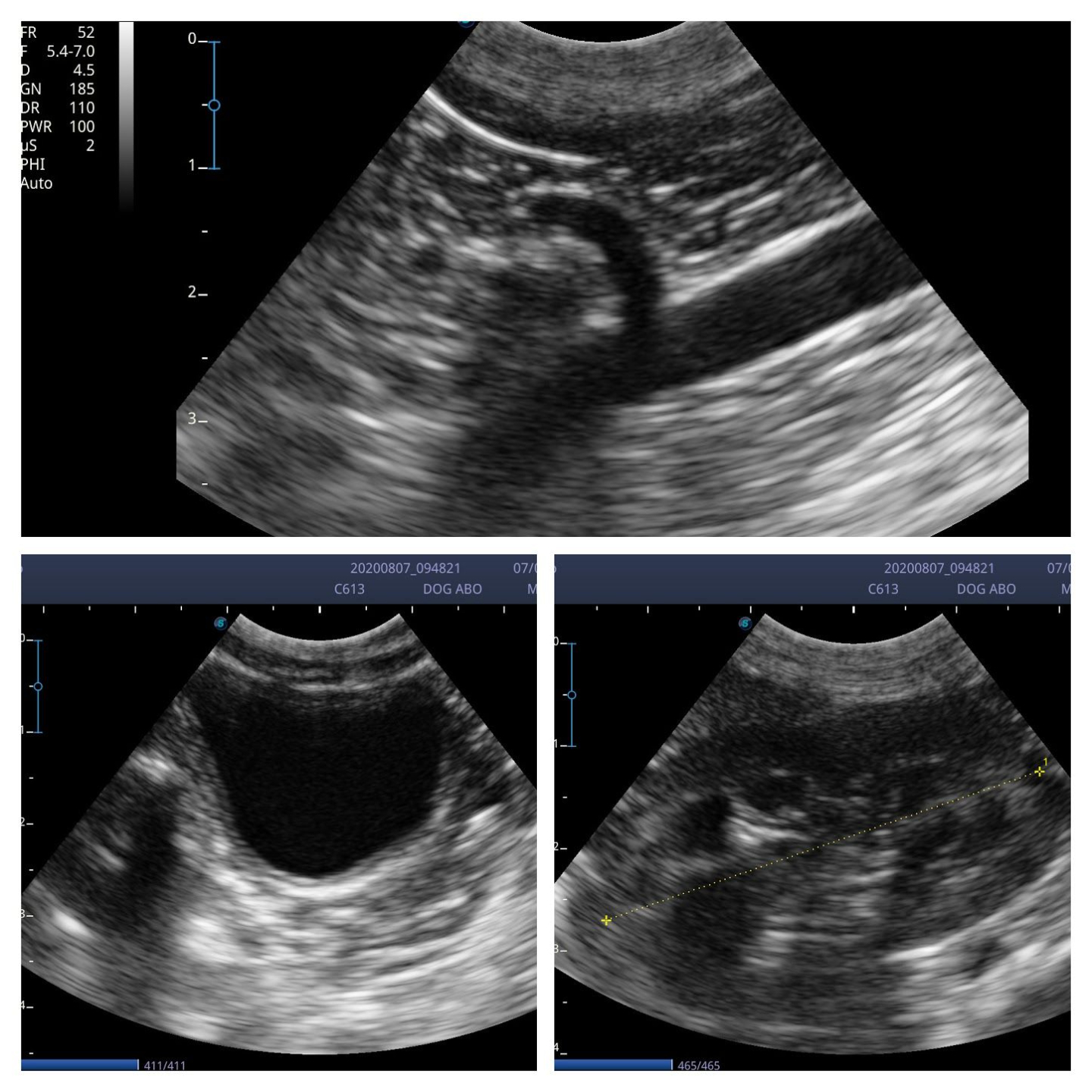
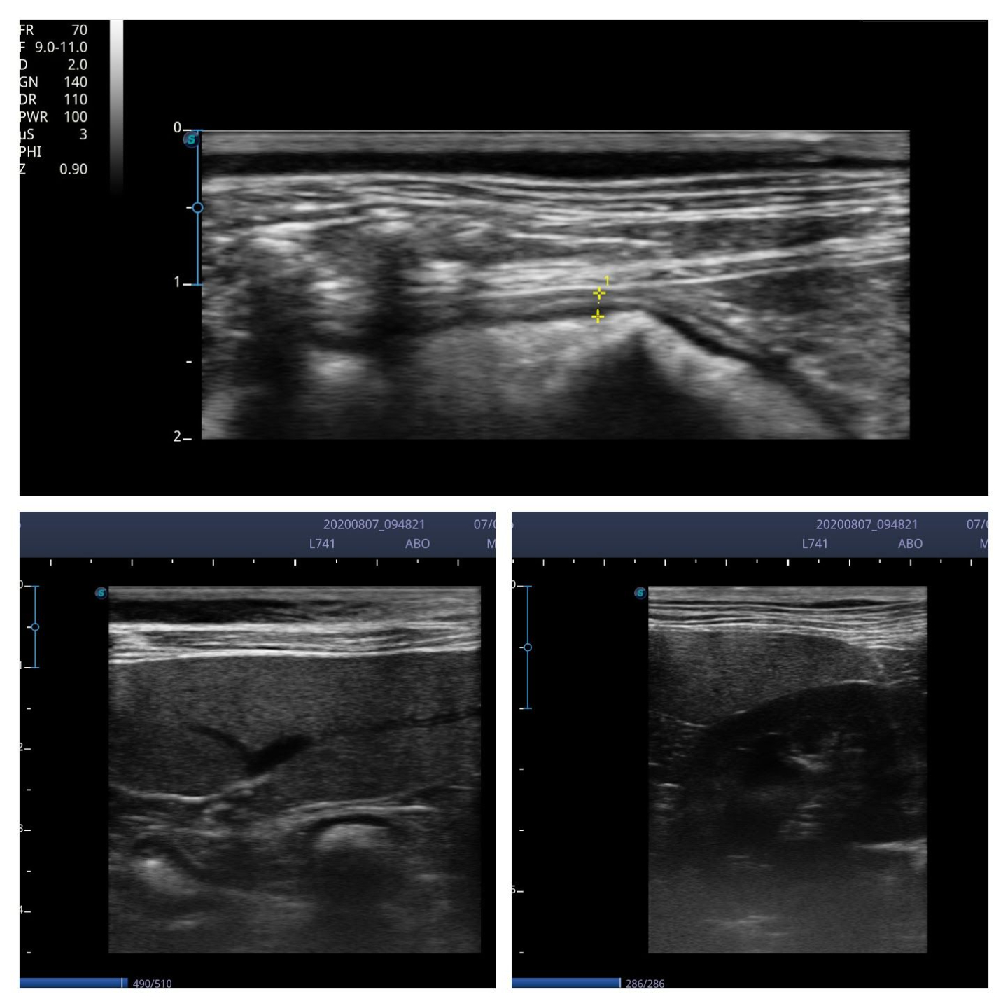
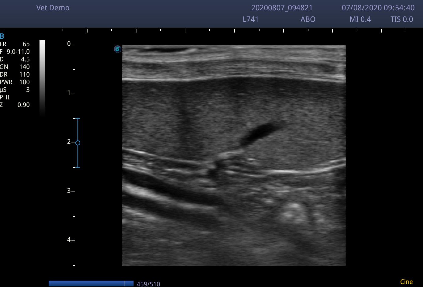
I scanned with the microconvex C613 probe (4-13MHz) and the linear L741 (4-16MHz). Although the linear probe gives great images, the 4.5cm footprint does make maneuverability around a small cat abdomen a little tricky. The microconvex probe was used in a few dogs up to 20Kg and managed to view the liver perfectly well.
The machine is laid out logically and it is easy to find and use frequency, depth, overall gain, time gain compensation and focal zone buttons. Pre-sets are easy to create for each user if required. Battery life is about an hour and half and has a mains attachment. Exporting images onto USB is very straightforward, and the machine announces once it has competed the export which is useful. The machine is not particularly built for robustness, but feels very sturdy, and is not too heavy to carry around the practice.
Who else sells the machine in the UK? Celtic SMR
PROS:
- Great value for money
- Good quality picture
- Easy to use
- Transfer to USB straightforward
CONS:
- No doppler option for this machine




My scores:
My 5-point scoring system ranges from 1 (the lowest) to 5 (the highest). A score of 1 implies significant issues, 2 signals below-average performance, 3 is satisfactory, 4 reflects above-average performance, and 5 represents exceptional quality or achievement. After assessing each category, the total score is converted into a percentage for the overall performance review.
Ease of settings ⭐⭐⭐⭐⭐
Image quality ⭐⭐⭐⭐⭐
Value for money ⭐⭐⭐⭐⭐
Robustness ⭐⭐⭐⭐⭐
Portability ⭐⭐⭐⭐⭐
Not sure what machine is right for you?
When people talk to me about ultrasound machines, they are often overwhelmed by the choice and unsure about what machine is best for their practice.
In my experience, the most important factor that everyone is looking for is the best image quality for their budget.
To ease the overwhelm, I've designed a quiz that explores your needs and budget. By answering key questions below, you'll streamline your search and receive a tailored recommendation for the perfect machine that suits your practice.