LOGIN
Video Poster Image
Star rating for the review from FOVU

Pro V11 | Sonoscope

Independent machine review


Dr Camilla Edwards reviews the Pro V11.

Read the full review, along with more about the expert behind this review below.

About Camilla...

The expert behind this independent review!

Dr Camilla Edwards, a peripatetic veterinary ultrasonographer in
Cambridge, founded FOVU First Opinion Veterinary Ultrasound in
2018 after earning her veterinary degree in 2006. Camilla's
veterinary ultrasound expertise is widely recognised through her
numerous lectures, ultrasound machine reviews, podcasts, online courses, and exclusive membership to help veterinary professionals master and confidently use ultrasound.

FOVU is a worldwide source of veterinary ultrasound expertise, with
a primary mission to educate, support, and empower veterinary
professionals in improving their ultrasound skills. FOVU’s goal is to
increase confidence in operating ultrasound machines and improve
scanning skills to diagnose patients effectively.

Dr Camilla Edwards, peripatetic veterinary ultrasonographer

Sonoscape ProV11 Review

Propet V11 machine review by FOVU

What the manufacturers say:

 

The ProV11 is a top of the range, compact, portable ultrasound with capability for referral level cardiac and abdominal imaging. 

 

PRICE: £25-30K

75%

Specifications

Standard Configurations

75%

Magnetic Interface 

8-Hour battery 

Touchpad (waterproof) + Trackball (button) 

Height and Panel Angle Adjustment 

Dedicated Veterinary Software for Animal care 

Tailored Transducers for Diverse Animals 

Main Unit & Probe Slot Dust Covers 

5.2kg 

Virtual Keyboard Keys 

Where to buy this machine:

 

 
Celtic SMR

What do I think?

The Sonoscape ProV11 is a solid, thoughtfully designed machine with some real strengths - and a couple of quirks.

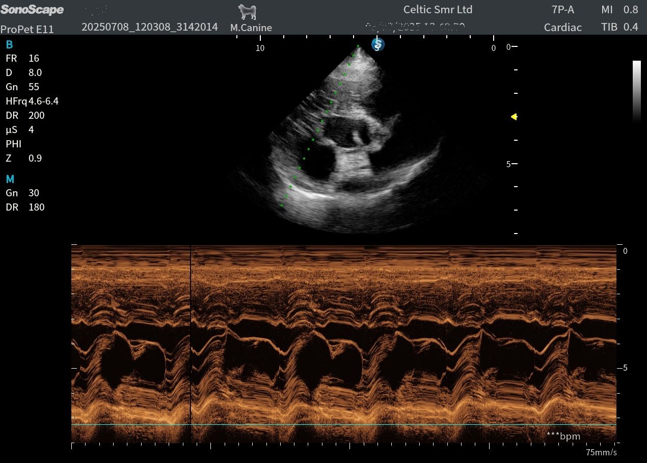
Image quality is one of its absolute highlights. The microconvex and linear probes performed really well for B-mode abdominal scanning, and the microconvex also delivered beautifully clear images in basic cardiac views, so is a great all rounder for the first opinion practice. The phased array probes were equally impressive, producing high-quality heart images suitable for more advanced echo work. For the price point, this machine delivers very good imaging performance.

It also feels reassuringly robust. Lightweight enough to be portable, but not flimsy - it’s compact, sturdy, and easy to clean. I can see this standing up well to life in a busy first-opinion practice.

That said, the user interface is not optimal. There’s an overreliance on the touchscreen, including for settings you’ll want to adjust all the time such as focal zone position which is hidden in a toggle function and frequency - so you not only have to look down to change the function, you’re also have to register which setting you’re in. It can slow you down at exactly the moment you want to be staying focused on your scan. The touchscreen buttons are close to each other, so it is quite easy to press to lower dynamic range for example, when actually you were trying to increase frequency.

The magnetic charger is a nice idea - modern and quick to connect - but I did manage to knock it out more than once just by gently shifting the machine. And oddly, there’s no obvious low battery warning. The machine just switches off. Thankfully, it did save my images, even before I’d entered patient details, which was a relief and an important reassurance.

Summary

Overall, this is a capable, well-built machine with excellent imaging and good portability. If you can get used to the touchscreen-heavy interface, it’s a strong option - especially for clinics wanting a shared machine that can handle both abdominal and cardiac scanning with confidence.

ProPet V11 Overall Score

Star rating for maching review by FOVU
FOVU score rating for Veterinary ultrasound machine reviews

My scores

80%

Ease of settings ⭐⭐⭐⭐⭐

Image quality ⭐⭐⭐⭐⭐

Value for money ⭐⭐⭐⭐⭐

Robustness ⭐⭐⭐⭐⭐

Portability ⭐⭐⭐⭐⭐

Images from the ProPet V11

Not sure what machine is right for you?

 

When people talk to me about ultrasound machines, they are often overwhelmed by the choice and unsure about what machine is best for their practice.

In my experience, the most important factor that everyone is looking for is the best image quality for their budget.

To ease the overwhelm, I've designed a quiz that explores your needs and budget. By answering key questions, you'll streamline your search and receive a tailored recommendation for the perfect machine that suits your practice.