
S9 Pro | Sonoscope
Independent machine review
Dr Camilla Edwards reviews the S9 Pro.
Read the full review, along with more about the expert behind this review below.
About Camilla...
The expert behind this independent review!
Dr Camilla Edwards, a peripatetic veterinary ultrasonographer in
Cambridge, founded FOVU First Opinion Veterinary Ultrasound in
2018 after earning her veterinary degree in 2006. Camilla's
veterinary ultrasound expertise is widely recognised through her
numerous lectures, ultrasound machine reviews, podcasts, online courses, and exclusive membership to help veterinary professionals master and confidently use ultrasound.
FOVU is a worldwide source of veterinary ultrasound expertise, with
a primary mission to educate, support, and empower veterinary
professionals in improving their ultrasound skills. FOVU’s goal is to
increase confidence in operating ultrasound machines and improve
scanning skills to diagnose patients effectively.

Sonoscape S9 Pro Review

What the manufacturers say:
A referral level portable doppler ultrasound scanner system. Outstanding image quality and full cardiac functionality including integrated ECG ensures this ultrasound scanner is perfect for advanced sonography.
Ideal for all veterinary uses including abdominal and cardiac scanning with a comprehensive set of probes available for small animal and exotic use.
PRICE: £15-20K
Specifications
Standard Configurations
M-Mode, Color/PW/CW/Power Doppler
Advanced tissue doppler imaging
μ-Scan – speckle reduction and edge enhancement
High Resolution LCD screen, with anti-reflection technology
AutoEF and XStrain™ technology
Backlit keyboard and intelligent panel
USB port, VGA, S-Video, ECG and DICOM connectivity
Multi-beam processing technology – delivering crisp, clear images
What do I think?
I had high hopes for this machine – on paper it is excellent – not only could I benefit from the good image quality I’d seen from the Sonoscape range, but I could also have two probes connected at once, and all the cardiac functionality a girl could dream of. I used the S9 in my peripatetic practice for a couple of months and to be honest expected more.
The image quality didn’t blow me away – don’t get me wrong, it’s not bad, but it’s not amazing either. The machine is noisier than any other machine I’ve worked with – this might not matter in a loud clinic with lots going on, but it was a relief for me to switch it off when I was done. I enjoyed the functionality of being able to swap between two probes easily, however the cine function was frustrating as you have to freeze and then press and hold save – which took more time than necessary. The other problem I had was the machine itself and the case were very heavy – transporting it was difficult, although the case was hard, so I always felt the machine was very safe inside.
Did I like anything about it? Yes – the fact it has lots of cardiac functions – continuous wave, pulsed wave, m mode and integrated ECG is great. The image quality is not bad – so I would say if you’re not going to be moving it around much within your clinic, you’re not bothered too much by the loud fan and you are interested in a machine which you can do some decent
echocardiography and abdominal ultrasound then this might just be the machine for you.
Summary
This may be a good option if you’re looking for a machine which is capable of doing it all at a not overwhelming price. It just doesn’t do it all amazingly.
Pros:
- Has the option to have two probes plugged in at the same time
- Has Continuous Wave Doppler
- ECG compatible
Cons:
- Noisy
- Cine loop function tricky to work
- Heavy
S9 Pro Overall Score


My scores
Ease of settings ⭐⭐⭐⭐⭐
Image quality ⭐⭐⭐⭐⭐
Value for money ⭐⭐⭐⭐⭐
Robustness ⭐⭐⭐⭐⭐
Portability ⭐⭐⭐⭐⭐
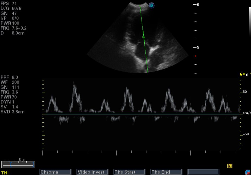
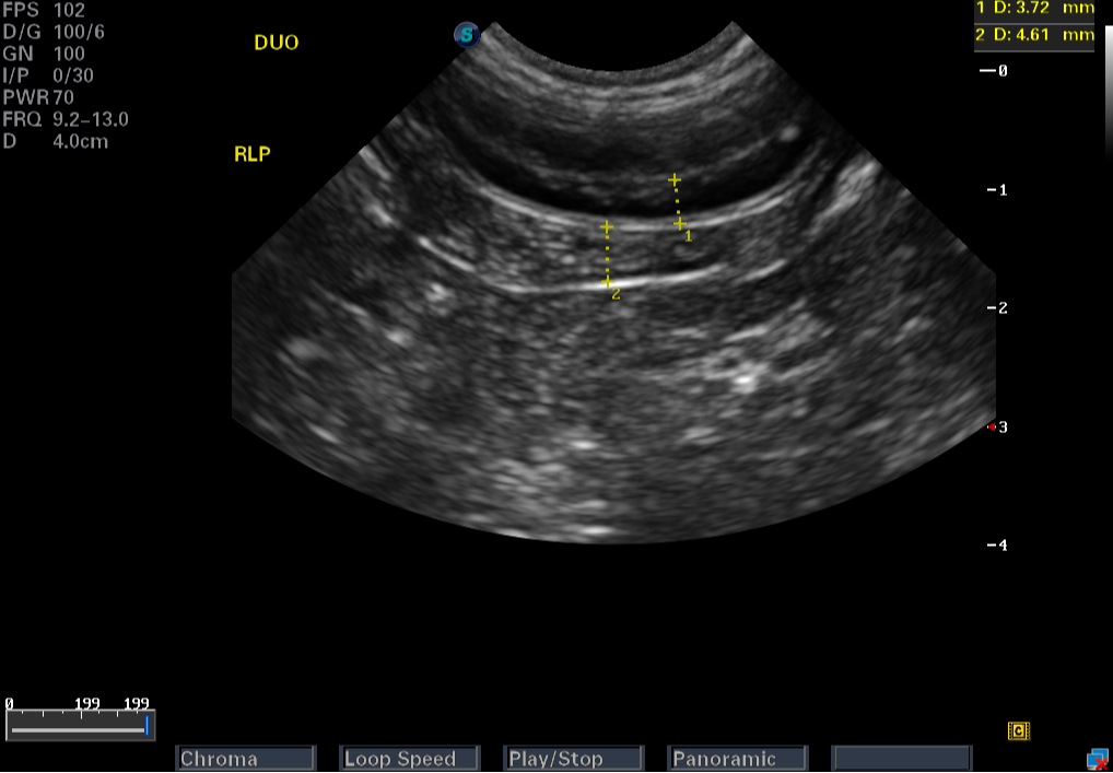
Images from the S9 Pro



Not sure what machine is right for you?
When people talk to me about ultrasound machines, they are often overwhelmed by the choice and unsure about what machine is best for their practice.
In my experience, the most important factor that everyone is looking for is the best image quality for their budget.
To ease the overwhelm, I've designed a quiz that explores your needs and budget. By answering key questions, you'll streamline your search and receive a tailored recommendation for the perfect machine that suits your practice.