LOGIN
Video Poster Image
Star rating for the review from FOVU

iViz | Sonosite

Independent machine review


Dr Camilla Edwards reviews the iViz.

Read the full review, along with more about the expert behind this review below.

About Camilla...

The expert behind this independent review!

Dr Camilla Edwards, a peripatetic veterinary ultrasonographer in
Cambridge, founded FOVU First Opinion Veterinary Ultrasound in
2018 after earning her veterinary degree in 2006. Camilla's
veterinary ultrasound expertise is widely recognised through her
numerous lectures, ultrasound machine reviews, podcasts, online courses, and exclusive membership to help veterinary professionals master and confidently use ultrasound.

FOVU is a worldwide source of veterinary ultrasound expertise, with
a primary mission to educate, support, and empower veterinary
professionals in improving their ultrasound skills. FOVU’s goal is to
increase confidence in operating ultrasound machines and improve
scanning skills to diagnose patients effectively.

Dr Camilla Edwards, peripatetic veterinary ultrasonographer

Sonosite iViz Review

iViz machine review by FOVU

What the manufacturers say:

 

The SonoSite iViz is intended for diagnostic ultrasound imaging or fluid flow analysis of the human body. Sonosite iViz user manual. 

PRICE: £5-10K

75%

Specifications

Standard Configurations

75%

2-in-1 micro USB flash drive (64 GB) 

Protective case with handle and kickstand 

Weight – 560g 

7′′ touch screen display 

Battery bay charger with power supply 

Dual charging station 

2D scanning mode with color Doppler 

Where to buy this machine:

 

 

What do I think?

This review was completed during Coronavirus restrictions, and I did not use the machine in any cases, but have used it to scan my own dog Pippi (20kg, 10mo, Fe, NSDTR). I used both the P21v phased
probe and the L38v linear probe.

Touch screen
The touch screen is pretty intuitive if you are used to using a smart phone, and most buttons are within reach of the left thumb so you don’t need to remove the hand using the probe too frequently. However, I like to annotate my images, which means I need to take my probe hand off to type and although you can add up to 10 custom labels to each exam type, which you then can use your left hand to choose, that is not enough for me and if I am performing a full abdominal exam I am slowed by not being able to type with my left hand and removing the probe from the patient. I found that it can be tricky to make accurate measurements on a touch screen as your finger is in the way. Sonosite have thought about this though – the calipers are
marked with a cross which is surrounded by a circle – your finger only needs to be in the circle to move the caliper not directly over the cross but this does take some getting used to.

Battery
The iViz goes automatically into sleep mode after a period of time which you specify in the
settings to conserve battery. When not used the battery still drains, but the second hand
machine from Darby Medical Limited comes with a toaster for charging two batteries while one is in the machine and they charge very quickly. The batteries last a couple of hours when scanning removed from the toaster. The battery does require a bit of force to get it to click into place – otherwise it will fall out. It is designed to be robust! I would recommend in a practical setting to get the most out of it to buy more than one battery – this means one can be charging and you never face the dreaded “needing to wait for it to charge before diagnosis a pericardial effusion situation”.

Probes
This machine has some great positives, robust, small, portable, light and quick start up time. The image quality on the linear probe is great (L38v) however with a frequency range of 10-5MHz it only reaches a depth of 9cm. The phased probe (P21v) image unsurprisingly with a frequency of 1-5MHz has less resolution, but does reach an impressive depth of 32cm. The functions are clearly labelled apart from recording a clip you have to hold the save button down for a few seconds and to change from 2D to M-mode you have to hold down the 2D button for a few seconds. Individual clips can be up to 30 seconds long.

Transferring data
The Sonosite iViz has a microUSB port, microHDMI and bluetooth. However, the easiest way to transfer images I found was to connect it to Wifi and send yourself an email with the report and images.

Summary

In summary, as a POCUS (point of care ultrasound) veterinary machine I can see this as a useful addition to a hospital with a busy ECC hospital. Easily portable, a quick aFAST, tFAST, Vet Blue and heart assessment done cageside could speed up assessments in hospital.

There may also be a use for this in the consult room for demonstrating findings to owners – taking clips or performing the exam in front of an owner.

Pros:

  • Very portable
  • Good battery life

Cons:

  • Typing with probe hand
  • Battery occasionally doesn't sit tight in machine

iViz Overall Score

Star rating for maching review by FOVU
FOVU score rating for Veterinary ultrasound machine reviews

My scores

68%

Ease of settings ⭐⭐⭐⭐⭐

Image quality ⭐⭐⭐⭐⭐

Value for money ⭐⭐⭐⭐⭐

Robustness ⭐⭐⭐⭐⭐

Portability ⭐⭐⭐⭐⭐

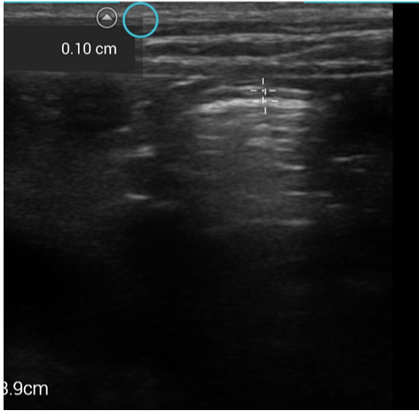
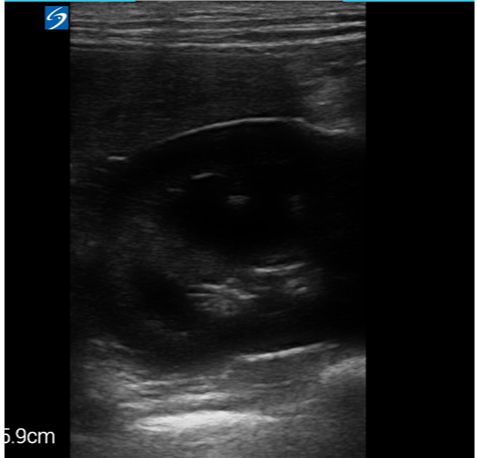
Images from the iViz

Not sure what machine is right for you?

 

When people talk to me about ultrasound machines, they are often overwhelmed by the choice and unsure about what machine is best for their practice.

In my experience, the most important factor that everyone is looking for is the best image quality for their budget.

To ease the overwhelm, I've designed a quiz that explores your needs and budget. By answering key questions, you'll streamline your search and receive a tailored recommendation for the perfect machine that suits your practice.