LOGIN
Star rating for the review from FOVU

M Turbo | Sonosite

Independent machine review


Dr Camilla Edwards reviews the M Turbo.

Read the full review, along with more about the expert behind this review below.

About Camilla...

The expert behind this independent review!

Dr Camilla Edwards, a peripatetic veterinary ultrasonographer in
Cambridge, founded FOVU First Opinion Veterinary Ultrasound in
2018 after earning her veterinary degree in 2006. Camilla's
veterinary ultrasound expertise is widely recognised through her
numerous lectures, ultrasound machine reviews, podcasts, online courses, and exclusive membership to help veterinary professionals master and confidently use ultrasound.

FOVU is a worldwide source of veterinary ultrasound expertise, with
a primary mission to educate, support, and empower veterinary
professionals in improving their ultrasound skills. FOVU’s goal is to
increase confidence in operating ultrasound machines and improve
scanning skills to diagnose patients effectively.

Dr Camilla Edwards, peripatetic veterinary ultrasonographer

Sonosite M Turbo Review

M Turbo machine review by FOVU

What the manufacturers say:

For a small animal applications the C11x (5-8 MHz 11mm radius) micro-convex probe, provides a one probe solution – buy a M-Turbo with a C11x probe and you can scan cats to medium/ large dogs, abdomen, cardiac, ocular, tendons and the occasional rabbit.

You can run the cardiac package and Doppler on the C11x probe. This allows you to measure adrenal flow, abdominal vessels and can do a good quality echo with Colour Doppler.

If you then look at adding a second probe a phased array such as P10x (4-8 MHz) or P21x (1-5 MHz,) will provide you with even more improved cardiac imaging, with higher frame rates and the capability to include Continuous Wave and TDI. 

Sonosite have a user guide available.

PRICE: £5-10K

75%

Specifications

Standard Configurations

75%

Monitor Screen Size 10.4" 

Mains powered or Battery power available 

Quick boot up time 

Backlit keyboard 

Splash resistant 

Drop tested at 3 feet/91.4 cm 

Where to buy this machine:

 

 

What do I think?

I have used this machine in over 50 cases. This machine has some great positives, it’s really robust, small and not too heavy with a really quick start up time. However, the image quality is not the best and the functions are labelled differently to most other machines which means it can be tricky to navigate initially. Many functions such as focal zone are inbuilt and cannot be adjusted manually which may be an advantage initially but once you are doing ultrasound regularly you will want to adjust this where possible to optimise the image.

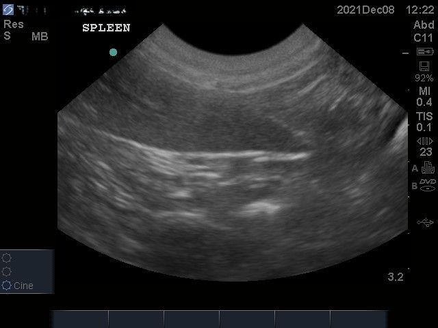
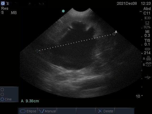
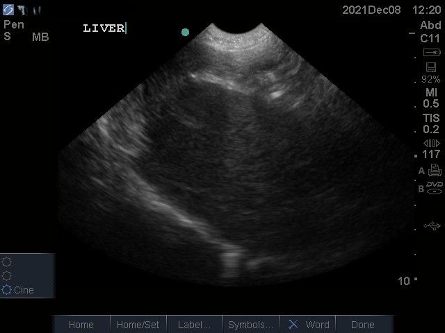
I have used the C11x probe (5-8MHz) which has been good for abdominal scanning of cats, small dogs and basic echocardiography. The depth obtainable (13cm) on the probe I have used is disappointing for large dogs. Having said that the image quality is reasonable. I have not been able to source new prices for this machine (if you are selling them please do get in touch!), however one machine I saw being sold second hand was well under £10,000 which suggests it’s starting price is <£10,000.

You can save a still image and using the rollerball go back in time to find the perfect image before the dog fidgeted/started panting(!) or a cineloop.

Transferring onto USB is very easy and quick and the machine is very good at showing when it is processing and when the task is complete, so you are not in doubt that it has transferred successfully.

Summary

Pros

  • Robust
  • Lightweight
  • Quick start up

Cons

  • Focal zone inbuilt
  • Image quality
  • Value for money

M Turbo Overall Score

Star rating for maching review by FOVU
FOVU score rating for Veterinary ultrasound machine reviews

My scores

66%

Ease of settings ⭐⭐⭐⭐⭐

Image quality ⭐⭐⭐⭐⭐

Value for money ⭐⭐⭐⭐⭐

Robustness ⭐⭐⭐⭐⭐

Portability ⭐⭐⭐⭐⭐

Images from the M Turbo

Not sure what machine is right for you?

 

When people talk to me about ultrasound machines, they are often overwhelmed by the choice and unsure about what machine is best for their practice.

In my experience, the most important factor that everyone is looking for is the best image quality for their budget.

To ease the overwhelm, I've designed a quiz that explores your needs and budget. By answering key questions, you'll streamline your search and receive a tailored recommendation for the perfect machine that suits your practice.